ÀÓ»óÁõ·Ê

homeÄ¿¹Â´ÏƼÀÓ»óÁõ·Ê
Ä¿¹Â´ÏƼ
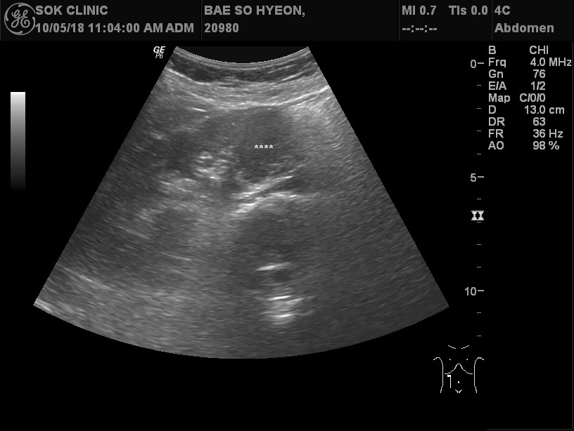
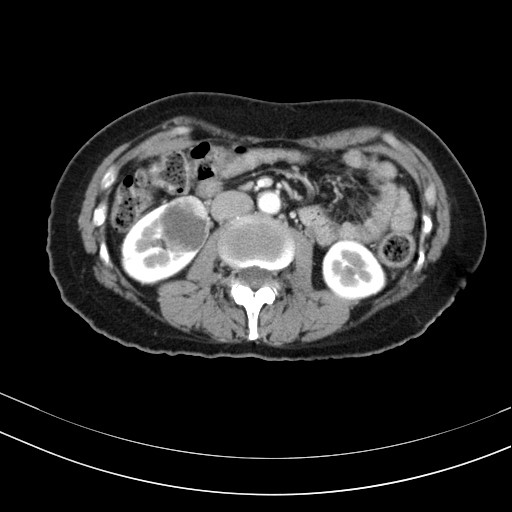
37¼¼ ¿©¼ºÀÌ Àü½ÅÇÇ·Î ¹× µÎÅëÀ» ÁÖ¼Ò·Î ³»¿øÇÏ¿´´Ù.  Æò¼Ò °Ç°­ÇÏ´ø ºÐÀ¸·Î¼­ ¾à ÇÑ´ÞÀüºÎÅÍ ¸Ó¸®°¡ ¹«°Ì°í ÇǷΰ¨ÀÌ À־ ³»¿øÇÏ¿´´Ù.  Ưº°ÇÑ °¡Á··ÂÀ̳ª º´·ÂÀº ¾ø¾ú´Ù. Á¤»ó üÇüÀ̾úÀ¸¸ç Ç÷¾ÐÀÌ 170/110mmHg ·Î  °íÇ÷¾Ð ¼Ò°ßÀÌ °üÂûµÇ¾ú´Ù.  °íÇ÷¾ÐÀÇ ¿øÀÎÀ» ã¾Æº¸±â À§ÇÏ¿© º¹ºÎÃÊÀ½ÆÄ, °©»ó¼± ÃÊÀ½ÆÄ , Ç÷¾×°Ë»ç µîÀ»  ½ÃÇàÇÏ¿´´Ù.  º¹ºÎÃÊÀ½ÆÄ°Ë»ç»ó ¿ìÃø ½ÅÀå¿¡ Àú¿¡ÄÚÇü °áÀýÀÌ °üÂûµÇ¾ú´Ù(±×¸²1).  Á¾¾çÀ» È®ÀÎÇϱâ À§ÇÏ¿© ½ÃÇàÇÑ º¹ºÎCT¿¡¼­µµ ¿ìÃø½ÅÀå¿¡ 5cm Å©±âÀÇ Á¾±«°¡ °üÂûµÇ¾ú´Ù(±×¸²2). ½ÅÀåÁ¾¾çÀ¸·Î ÀÇ½ÉµÇ¾î ¼ö¼ú·Î ½ÅÀåÀ» ÀûÃâÇÏ¿´À¸¸ç Á¶Á÷°Ë»ç»ó ½ÅÀå¾ÏÀ¸·Î È®ÁøµÇ¾ú´Ù.  ¼ö¼úÈÄ Ç÷¾ÐÀº 100/60 À¸·Î Á¤»óÈ­µÇ¾î Ç÷¾Ð¾àÀº Áß´ÜÇÏ¿´´Ù.
 °íÇ÷¾ÐÀº Ưº°ÇÑ ÀÌÀ¯ ¾øÀÌ ¹ß»ýÇÏ´Â º»Å¼º °íÇ÷¾ÐÀÌ 90%¿¡ À̸£Áö¸¸ ¾à 10%¿¡¼­´Â ¿©·¯°¡Áö ¿øÀÎÀ¸·Î ¹ß»ýÇÏ´Â 2Â÷ÀûÀÎ °íÇ÷¾ÐÀÌ´Ù. °©»ó¼±±â´É Ç×ÁøÁõ, ºóÇ÷, ºÎ½ÅÈ£¸£¸ó ÀÌ»ó µî ´ë»ç ÁúȯÀ¸·Î ¹ß»ýÇÏ´Â °æ¿ìµµ ÀÖ°í µå¹°°Ô ½ÅÀå Ç÷°ü ÇùÂøÀ̳ª ½ÅÀå Á¾¾ç¿¡ ÀÇÇÏ¿© ¹ß»ýÇÒ ¼ö ÀÖ´Ù.  °íÇ÷¾ÐÀ» óÀ½ Áø´Ü½Ã Ç÷¾Ð¾àÀ» Åõ¾àÇϱâ Àü¿¡ ¹Ýµå½Ã 2Â÷ÀûÀÎ ¿øÀÎÀ» ã±â À§ÇÏ¿© °Ë»ç°¡ ÇÊ¿äÇÏ´Ù.
 

÷ºÎÆÄÀÏ 1 : RCC_sono.jpg
÷ºÎÆÄÀÏ 2 : RCC_CT.jpg
¾îÁ¦ Àú³á¿¡ ¼ú¸Ô°í ±¸ÅäÇÏ´õ´Ï Çǰ¡ ³Ñ¾î¿Í¿ä!!
ÄÁÅÙÃ÷ óÀ½À¸·Î °¡±â